
Lumify ve lo que usted no puede
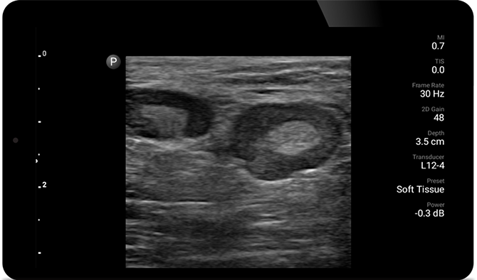
Los exámenes de ultrasonido pueden mejorar su capacidad para identificar y tratar con éxito los abscesos cutáneos.

La detección temprana puede ayudar a evitar que las condiciones se vuelvan críticas
La insuficiencia cardíaca congestiva es un problema creciente en la actualidad. Su detección temprana a través de un ultrasonido en el consultorio puede mejorar en gran medida las tasas de supervivencia.

Los resultados de los exámenes a su alcance
Lumify facilita el almacenamiento y el acceso a los resultados de los exámenes y las imágenes de los pacientes directamente desde su dispositivo Android o iOS compatible. Incluso puede compartir esos resultados con colegas para una mejor colaboración.
















• Rango extendido de frecuencias de 5 a 2 MHz • Radio de curvatura de 50 mm • 2D, Doppler a color, Modalidad M, XRES avanzado e imágenes armónicas multivariables, SonoCT • Imágenes de alta resolución para aplicaciones más profundas: optimizaciones preestablecidas de imágenes abdominales, de vesícula biliar, gineco-obstétricas y pulmonares • Marcador de línea de centro • Transductor USB-C con cable reemplazable


Desde revelar los detalles sutiles de una imagen hasta descubrir la definición del tejido enriquecido desde múltiples ángulos, Lumify puede ayudarlo a tomar decisiones en tiempo real con más confianza desde la evaluación hasta la recuperación.

Caso de estudio
La obstrucción cardíaca se disfraza de dolor abdominal

Tutorial
Evaluación de la función ventricular izquierda

Guía rápida
Ultrasonido POC para tejidos blandos
You are about to visit a Philips global content page
Continue