
Lumify lo acompaña en cada paso del camino
Evalúe, diagnostique y trate a sus pacientes en minutos con un examen POCUS de puntos múltiples.

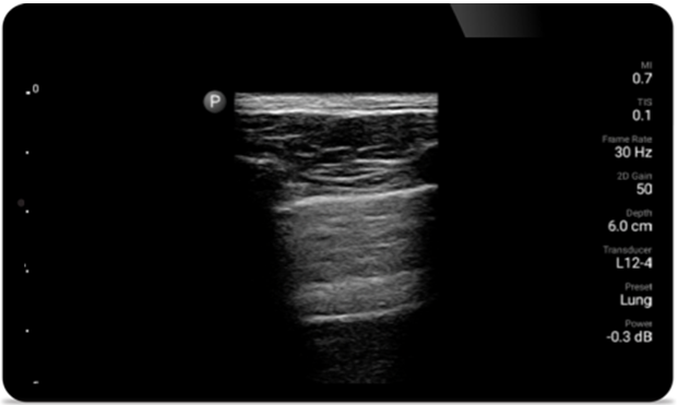
Respire con mayor facilidad con Lumify
Lumify puede ayudar a evaluar a los pacientes más rápido y a mejorar la precisión en el diagnóstico de las causas comunes de disnea y otras afecciones pulmonares.

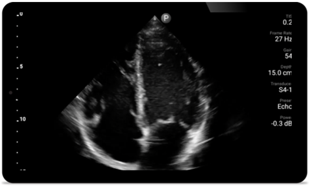
Cada segundo cuenta en la atención cardíaca
Los pacientes que sufren un ataque cardíaco necesitan atención inmediata. Los ajustes cardíacos preestablecidos de Lumify pueden ayudar a los pacientes a ser diagnosticados más rápido para mejorar sus resultados.
















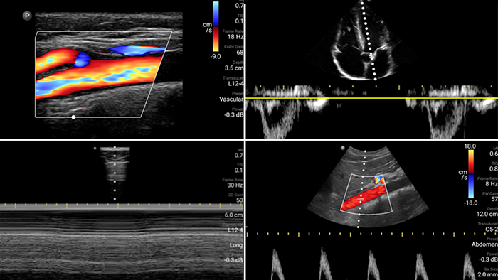
• Rango extendido de frecuencias de operación de 4 a 1 MHz • 2D, Doppler a color, Modalidad M, XRES avanzado e imágenes armónicas multivariables • Imágenes de alta resolución para aplicaciones abdominales y cardíacas: las optimizaciones de preajustes de imágenes cardíacas, gineco-obstétricas, pulmonares, abdominales y FAST de Lumify ayudan a la tecnología que salva vidas en entornos prehospitalarios



Video
Lumify ayuda a la tecnología que salva vidas en entornos prehospitalarios

Caso de estudio
Integración de Lumify en un entorno de reanimación

Guía rápida
Examen para la Evaluación enfocada de traumas con sonografía (FAST)
You are about to visit a Philips global content page
Continue