Resonancia magnética

Un avance revolucionario en calidad diagnóstica,en velocidad

Philips MR Ingenia Elition 3.0T 


La solución Philips Ingenia Elition ofrece técnicas innovadoras de RM, creando nuevos estándares para investigación clínica en imágenes de 3,0 T mediante diseños de gradientes y RF.

El Ingenia Elition proporciona una extraordinaria calidad de imagen y realiza los estudios de RM hasta un 50% más rápido¹. Un tiempo de estudio general rápido se consigue mejorando el tiempo de preparación del paciente en el túnel mediante el procedimiento guiado sin contacto, y combinándolo con aceleraciones en la exploración en 2D y 3D. Además, Ingenia Elition ofrece una experiencia audiovisual envolvente para tranquilizar a los pacientes y guiarles a lo largo del proceso de la RM.

    Ver el tráiler

    Tráiler de Elition

    Casos clínicos de otros profesionales médicos con Ingenia Elition 3.0T

    Cerebro

    Cerebro con glioblastoma

    Tumor en mano/muñeca

    Tumor en mano/muñeca

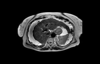
    Hígado

    Hígado con ascitis

    Pelvis

    Pelvis con fístula

    Descargas

    NetForum

    Descargar ExamCards para Ingenia Elition 3.0T

    ExamCards

    Catálogo de Ingenia Elition 3.0T X

    Un avance revolucionario en calidad diagnóstica, y en velocidad

    Catálogo de Elition CX

    Catálogo de Ingenia Elition 3.0T S

    Imágenes 3.0T a su alcance 

    Catálogo de Elition CS

    Catálogo de VitalScreen

    Consejos a su alcance

    vitalscreen

    Productos relacionados

    Compressed sense

    Compressed SENSE

    La velocidad correcta, en todo momento.

    3D APT

    3D APT

    Mayor fiabilidad diagnóstica en neurooncología

    Información de contacto

    * Este campo es requerido

    *
    *
    *
    *
    *
    *
    *
    *
    *

    Al especificar su motivo de contacto podremos ofrecerle un mejor servicio.

    We work with partners and distributors who may contact you about this Philips product on our behalf.

    *
    *

    Final CEE consent

    1 En comparación con las exploraciones de Philips sin Compressed SENSE.

    2 En estudios rutinarios, según las pruebas realizadas en el propio centro.

    3 Basado en pruebas internas, con exámenes de cerebro, columna cervical, columna lumbar, hígado y rodilla. Solo se han medido los tiempos de los exámenes.

    4 SmartExam no está disponible para pacientes con implantes de uso condicionado para RM.

    5 En comparación con Ingenia 3.0T Omega HP R5.3.

    6 Zhou et al., Nat Med 9, 1085-1090 (2003); Zhou et al., Magn Reson Med 50, 1120-1126 (2003); Jones et al., Magn Reson Med 56, 585-592 (2006).

    7 Los resultados de estudios de unos casos no predicen los resultados de otros casos. Estos pueden variar. 

    8 En comparación con la exploración sin ComforTone.

    You are about to visit a Philips global content page

    Continue

    You are about to visit a Philips global content page

    Continue

    Nuestro sitio se puede visualizar mejor con la última versión de Microsoft Edge, Google Chrome o Firefox.